Neuroanatomía

MÉDULA ESPINAL ENCÉFALO NERVIOS CRANEALES NERVIOS ESPINALES
S. N. AUTÓNOMO
1- origen
de los nervios en el encéfalo
2- salida
del estuche óseo del cráneo.
3- recorrido
del nervio.
4- destino
del nervio: inervación

En el desarrollo embriológico, el crecimiento del IV ventrículo trae consigo el desplazamiento de las láminas alares lateralmente a las láminas basales.

Así, en comparación con la médula espinal, en la que los núcleos nerviosos están formados por aglomeraciones de neuronas dispuestas en columnas contínuas a todo lo largo de ella, en el tronco del encéfalo se presentan los núcleos nerviosos constituidos por columnas discontínuas de células.

Así, en comparación con la médula espinal, en la que los núcleos nerviosos están formados por aglomeraciones de neuronas dispuestas en columnas contínuas a todo lo largo de ella, en el tronco del encéfalo se presentan los núcleos nerviosos constituidos por columnas discontínuas de células.

Núcleos de nervios craneales en el tronco encefálico . Dcha: componentes motores (eferentes), izqda: componentes sensitivos (aferentes)

Los núcleos eferentes (que son núcleos motores y están derivados de la lámina basal) pueden ser:

a) Somatoeferentes (SE): están constituidos por cuerpos celulares de neuronas motoras alfa o gamma.
Estos núcleos SE forman dos columnas longitudinales discontínuas y son las responsables de de la inervación de todos los músculos esqueléticos de la cabeza.
Entre ellos están:
Los núcleos de los nervios III, IV, VI y XII, que están formados por una columna de células localizada cerca de la línea media dorsal del tronco del encéfalo. Inervan músculos de la lengua y de los ojos.
Los núcleos motores del V y VII, y el núcleo ambiguo (origen del IX y X) están formados por una columna de células localizada en la parte ventrolateral del tronco encefálico. Inervan los músculos de la masticación, de la cara, paladar, laringe y faringe.

b) Visceroeferentes (VE): formados por neuronas parasimpáticas preganglionares.
Entre ellos están:
El núcleo parasimpático del X: inerva las vísceras cervicales, torácicas y abdominales .
El núcleo parasimpático del III: inerva el musculor constrictor de la pupila y el músculo del cuerpo ciliar del ojo.

secciones transversales a diferentes niveles del tronco del encéfalo mostrando la localización de los núcleos neuronales eferentes de los nervios craneales

EFERENTES:
somatoeferentes (SE) : inervan músculos esqueléticos
visceroeferentes(VE): parasimpáticos

Los núcleos aferentes (que son sensitivos y son derivados de la lámina alar) consisten en cuerpos de neuronas de proyección e interneuronas, sobre cuyos axones aferentes conectan con vías ascendentes o con vías de actividad refleja.
Pueden ser:
Aferentes somáticos generales (GSA): representados por el complejo componente sensorio del V, el cual está localizado bastante lateralmente al tronco encefálico.
Este complejo se divide en :
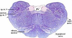
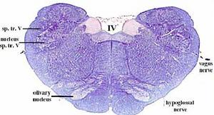
Núcleo espinal del V o núcleo del tracto trigémino, localizado en la médula oblongada, y está asociado con la sensación del dolor y temperatura de la mitad de la cara.
Núcleo pontino del V o núcleo sensorio principal, localizado en el puente, y está asociado con sensación de la presión y tacto de la cara y cavidad oral.
Núcleo mesencefálico del V: localizado en el cerebro medio y el cual recibe información de la propiocepción de la cara.
Aferentes viscerales generales (GVA): localizados laterales a la columna GVE y compuesto por un único núcleo denominado núcleo solitario o núcleo del tracto solitario, el cual está asociado con IX y X, recibiendo la sensación visceral de la faringe, laringe y porciones del esófago.
Aferente visceral especial (SVA):
Sistema formado por:
El componente del sentido del gusto del núcleo solitario, asociado con VII, IX y X, que recogen la sensación del gusto de la lengua y faringe.
El nervio I, que a pesar de no originarse en el tronco encéfalico, está dentro del SVA. El nervio olfatorio conduce la sensación de olfato directamente al lóbulo piriforme del telencéfalo.
Aferente somático especial (SSA): Formado por los siguientes núcleos del tronco encefálico: El núcleo geniculado lateral, relacionado con la sensación de la visión, estando localizado en el tálamo y asociado con el nervio II.
El núcleo coclear, relacionado con la sensación de la audición, y el núcleo vestibular, relacionado con el sentido del equilibrio, ambos constituidos por columnas de neuronas localizadas en la médula oblongada y que forman el nervio VIII.

secciones transversales a diferentes niveles del tronco del encéfalo mostrando la localización de los núcleos neuronales aferentes de los nervios craneales

AFERENTES:

Somatoaferentes:
generales (GSA): boca y cara
-especiales (SSA): sentido de la visión y oído

Visceroaferentes:
- generales (GVA): recogen sensación de faringe y laringe
-especiales (SVA): sentido del gusto y del olfato

correspondencias entre la localización de los núcleos neuronales en diferentes cortes.

esquema de los diferentes núcleos aferentes y eferentes

MÉDULA ESPINAL ENCÉFALO NERVIOS CRANEALES NERVIOS ESPINALES
S. N. AUTÓNOMO

Copyright 2017, Hospital Veterinario JG Mutxamel - Alicante - España