Bienvenido a neurologiaveterinaria.com
Página web destinada sólo para veterinarios.
Si deseas permanecer informado sobre novedades en la neurología danos tu email:
Email
Enviar email
Visitar página web del autor
Inicio
Presentación
Personal
Hospital JG
Neuroservicios
Neurohistología
Neuroanatomía
Neurofisiologia
Neuropatología
Neurodiagnóstico
Servicio de Resonancia Magnética
Neurocirugía
Neuroterapéutica
Neuro-oftalmología
mapa web
miles de casos clínicos
Diagnóstico neurológico
RESONANCIA MAGNÉTICA
CLÍNICO
LABORATORIO
ECOGRAFÍA
RADIOGRAFÍA
RADIOSCOPIA
MRI
TC
ELECTROGRAFÍA
Entrar en el servicio de Resonancia Magnética de nuestro Hospital
casos clínicos con cientos de imágenes
Ver versión digital, con actualizaciones, de nuestro libro : Introducción a la Resonancia Magnética en pequeños animales: atlas de casos clínicos
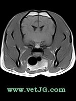
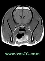
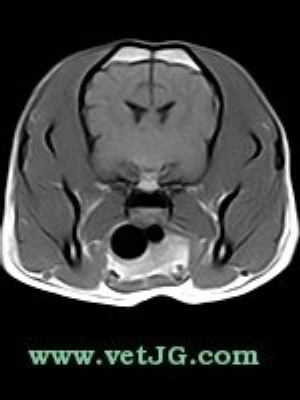
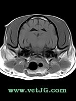
AXIAL
SAGITAL
DORSAL
CLÍNICO
LABORATORIO
ECOGRAFÍA
RADIOGRAFÍA
RADIOSCOPIA
MRI
TC
ELECTROGRAFÍA
Entrar en el servicio de Resonancia Magnética de nuestro Hospital
casos clínicos con cientos de imágenes
Ver versión digital, con actualizaciones, de nuestro libro : Introducción a la Resonancia Magnética en pequeños animales: atlas de casos clínicos
Copyright 2017, Hospital Veterinario JG Mutxamel - Alicante - España