Detalle del quisma óptico de un gato (imagen de resonancia magnética)
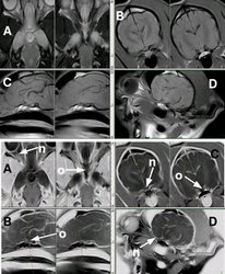
Vía óptica. Cocker. Nervio óptico (n), quiasma óptico (o) Se muestran 4 secuencias de resonancia magnética, en positivo (las de arriba) y en negativo (las de abajo) A: SE T2 dorsal. B: SE T1 transversal. C: SE T1 sagital. D: SE T1 oblícuo, siguiendo la trayectoria del nervio óptico izquierdo, del cual se visualiza perfectamente su entrada por el agujero óptico del esfenoides.
Los nervios ópticos (n.o.) y el quiasma óptico (q.o) se pueden observar en una ventriculografía (radiografía con contraste yodado aplicado en cisterna magna). Recordemos que los nervios ópticos están envueltos por meninges y por ende por líquido cefalorraquídeo.
Es fácil visualizar en la ventriculografía también el tronco encefálico (t.e)
El líquido cefalorraquídeo, presente en el espacio subaracnoideo, nos permite visualizar, gracias al contraste que contiene, el aparato ventricular (VL: ventrículo lateral) además de los surcos cerebrales y cerebelares (c).
Copyright 2017, Hospital Veterinario JG Mutxamel - Alicante - España