Diagnóstico neurológico | ||||||||||
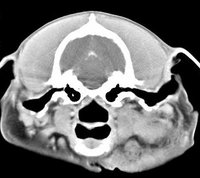
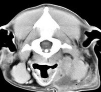
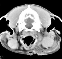
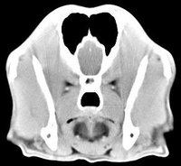
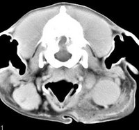
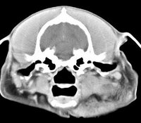
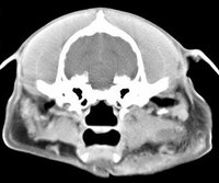
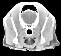
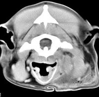
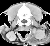
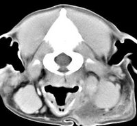
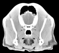
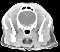
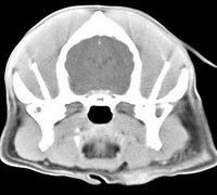
imágenes de TC en el perro | ||||||||||
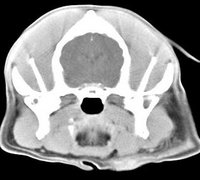
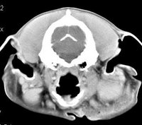
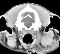
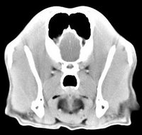
ejemplo de imágenes de TC en el perro. Nótese la celulitis en la región parotídea izquierda | ||||||||||
|
|
|
|
|
|
|
|
|
|
|
|
|
|
|
|
|
|
|
|
|
|
|
|
|
|
|
|
|
|
Tomografía computarizada helicoidal |


miles de casos clínicos












